Step 01
Free Consultation
Your first appointment is free! Come meet our team and tell us about your smile goals.
Dr. Henao’s 30 years of experience means you get expert treatment that works right the first time.







From flexible financing and insurance help to special discounts and easy online tools, we're here to keep things simple, clear, and stress-free. Dr. Anabella Henao and our team do our best to make treatment affordable for every family.


At Bliss Orthodontics, everything we do is about helping you feel confident in your smile—and comfortable in your care. We focus on what matters most: making orthodontics simple, respecting your time, and treating your family like a part of ours.
Learn MoreNo cookie‑cutter fixes here. From flexible payments to tech that saves time, we tune every detail to your life and needs.
For 30 years, Dr. Henao has been
the choice families trust for simple, convenient care.
Coppell’s not just where we work, it’s our home! See what else our team does around our neighborhood.
Since every smile in Coppell (no matter its age) deserves the highest caliber of care, Dr. Henao treats patients of all ages.
Learn MoreDr. Henao sides with the American Association of Orthodontics and recommends that kids see an orthodontist around seven years old. No referral—call us to schedule a consultation.
Teens make fantastic candidates for orthodontics. Because their jaws are still growing, they’ll see remarkable results.
Don’t wait any longer to get the smile you’ve been after! Orthodontic treatments help adults from Coppell and beyond.
You don't have to take our word for it — listen to what our happy patients are saying about their exceptional experience and outstanding service at Bliss Orthodontics!

It’s never too late to get the smile of your dreams and there’s no reason to delay your orthodontic treatment visit. At Bliss Orthodontics, it’s easier than ever to begin your smile journey.
Your first appointment is free! Come meet our team and tell us about your smile goals.
We’ll take some digital photos and X-rays. Don’t worry—no goopy, gaggy impressions.
If you’re ready to begin treatment, start your smile journey with braces or clear aligners.
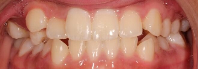
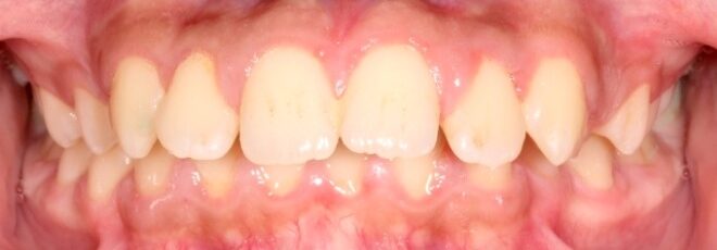
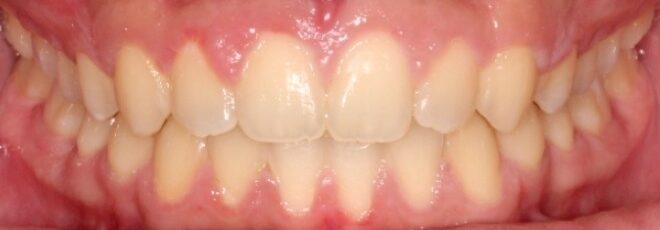
Orthodontic treatment at Bliss Orthodontics can transform the way your smile looks, the way your teeth function, and the way you feel about yourself. Every smile tells a story, and here are a few orthodontic before & afters treated by Dr. Anabella Henao.





