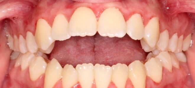
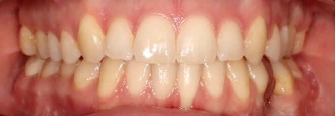
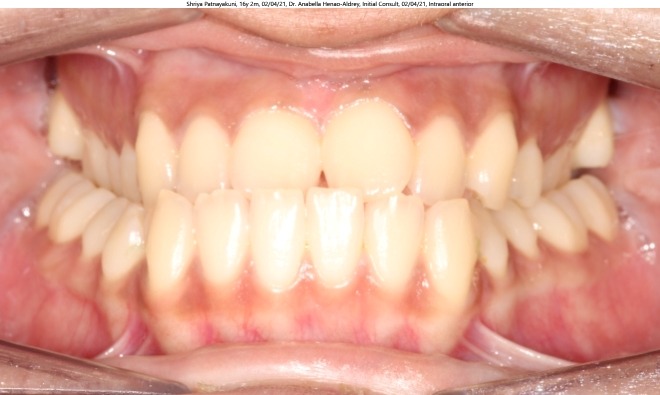
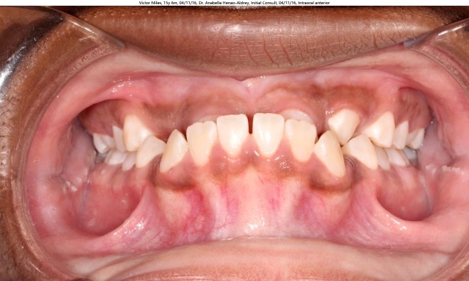
Our Smiles Speak For Themselves
Orthodontic treatment, like braces and Invisalign, can significantly improve the way your smile looks, the way your teeth function, and the way you interact with other people. At Bliss Orthodontics, Dr. Henao treats children, teens, and adults. Every smile tells a story, and here are a few orthodontic Before & Afters treated by our team.













